Is Your Gum Really Healthy? Find Out Now!
Posted by : Admin Posted on : 13 Jan 2025
- Dr. Soni Bista
How well do you truly know your teeth? Do they shine brightly, free of cavities, or do you notice something else—perhaps a slight, unnoticed bleed? It’s easy to assume that cavity-free teeth mean everything is in the clear, but that’s not always the case. Beneath the surface, gum disease can quietly take hold, often without warning. Painless and sneaky, it creeps in unnoticed, affecting millions—adults, teens, and children alike. It might begin subtly, with swollen gums or a hint of bad breath, but left unchecked, it can steal the brilliance of your smile. But here’s the twist: the story doesn’t have to end that way. Gum disease is preventable. With a simple, daily routine, you can nurture your gums and keep your smile vibrant and strong, year after year.
Spotting Gum Disease: Key Signs and Symptoms
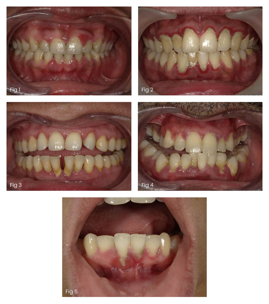
Swollen or Red Gums: Healthy gums are pink and firm. If your gums are swollen, red, or tender, there's a high chance they may be infected.
Bleeding Gums: That bright red you see while brushing, or even suddenly, might be a sign your gums need some attention.
Pus Discharge from Gums: If you notice pus oozing from your gums, it's a clear sign of infection. This can be a painful warning that your gums need immediate care.
Bad Breath: That freshness you expect from brushing fades too quickly, leaving bad breath behind, it might be lingering bacteria in your gums or on your tongue quietly causing the trouble.
Receding Gums: If your gums appear to be pulling away from your teeth or if your teeth look longer, it could be a sign of gum disease.
Tooth Position Migration: When your teeth start to wander without an invitation, it could be a sign of chronic gum disease (Periodontitis).
![]() |
My Advice
To maintain healthy gums, I recommend brushing your teeth at least twice a day with fluoridated toothpaste and a soft-bristle brush. Don’t forget to clean between your teeth using interdental brushes, to remove plaque and food particles that can lead to gum issues. Eating a balanced diet rich in fruits, vegetables, and vitamins is essential for supporting gum health, while limiting sugary foods can help prevent gum problems.
Additionally, avoiding smoking and chewing tobacco is crucial, as these habits can severely damage your gums and increase the risk of gum disease. A smoke-free lifestyle is one of the best ways to keep your gums strong and healthy.
Most importantly, regular visits to your dentist are vital for catching early signs of gum issues, ensuring that your smile remains bright and healthy.
As a periodontist, I stress the importance of these homecare practices in maintaining optimal gum health, and I encourage you to make them a part of your daily routine for a lifetime of healthy gums.
New Article
|
|
Oral Spirochetes: The Hidden Threat to Your Smile -Vedic Smile Team |
|
|
Correcting Anterior Smile Aesthetics -Vedic Smile Team |
|
|
Align Your Smile and Be Confident -Vedic Smile Team |
|
|
Stop Hiding, Start Smiling -Vedic Smile Team |
|
|
Give Your Extracted Teeth a Second Chance: The Role of Dentin Grafts -Vedic Smile Team |
|
|
Smile Makeup: The Power of a Confident Smile - Dr. Priya Shrestha |
|
|
Rooted in Tradition, Driven by Innovation - Dr. Gresha Shrestha |

