SpiroClear™ gum therapy is a comprehensive, non-surgical approach to gum care designed to target harmful motile bacteria, especially oral spirochetes—hidden culprits behind gum disease and bad breath. Unlike conventional treatments that often rely on harsh chemicals or invasive methods, SpiroClear™ gum therapy introduces the unique Clean – Rinse – Massage (CRM) protocol, applied at both professional and home-care levels. This mindful protocol gently clears bacterial biofilm, restores gum health, and activates the body’s natural healing response.
The therapy further supports healing through the use of natural elements such as Turmeric, Aloe Vera, and Salt (collective referred as Turvera Gel) during gum massage. Combined with the CRM protocol, these ingredients promote circulation, reduce inflammation, and strengthen gums naturally.
Fig: SpiroClear™ gum therapy protocol
Indications
SpiroClear™ gum therapy is indicated for patients showing clinical signs and symptoms related to motile oral bacteria, particularly spirochetes.
- Red, swollen, or tender gums (gingival inflammation)
- Bleeding on brushing or probing (early-stage gingivitis or periodontitis)
- Persistent bad breath associated with bacterial imbalance
- Gum recession or early signs of periodontal tissue breakdown
- Inflammation or discomfort around dental implants (peri-implant mucositis)
- Gum irritation during orthodontic or aligner therapy
- Sensitive or dry gums due to xerostomia

Fig: Oral Microbes
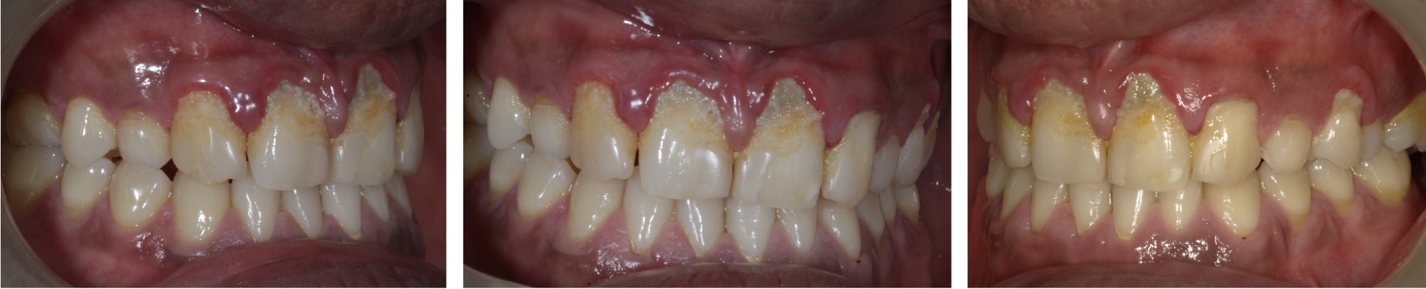
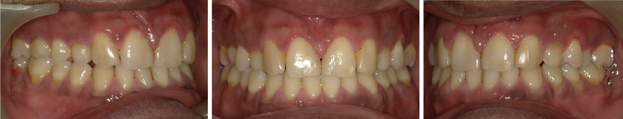
CLINICAL CASE 1
SpiroClear™ Gum Therapy FAQ
1. What is SpiroClear™ Gum Therapy?
SpiroClear™ gum therapy is a non-surgical treatment designed to remove harmful bacteria in the gums, especially spirochetes, which are difficult-to-detect, spiral-shaped bacteria. By targeting these bacteria, the therapy reduces inflammation, restores firm, pink gums, and helps protect teeth from infection or damage.
2. Why is it called “Pink Health”?
Healthy gums are naturally pink, firm, and do not bleed. “Pink Health” reflects gums that are balanced and disease-free, supporting teeth and overall health. Maintaining pink, healthy gums also reduces risks of chronic conditions like heart disease or diabetes.
3. What are spirochetes?
Spirochetes are tiny, spiral-shaped bacteria that move actively and live deep inside gum pockets. They are often behind serious gum problems because they destroy gum tissue and bone slowly over time.
4. Why are spirochetes dangerous?
Spirochetes can weaken gums, destroy bone, and cause bleeding, swelling, and bad breath. They may also enter the bloodstream, contributing to systemic inflammation and increasing risks for diseases such as heart problems or diabetes.
5. Can spirochetes make gums bleed?
Yes. They inflame the gums and weaken tissue, so even gentle brushing or chewing can cause bleeding. Bleeding gums is an early warning sign that treatment is needed.
6. Do spirochetes cause bad breath?
Yes. They release toxins and sulfur compounds that lead to persistent bad breath, which cannot be fully removed by brushing alone. Targeted therapy is required to eliminate the source.
7. Can spirochetes loosen my teeth?
Yes. By breaking down the tissue and bone that hold teeth in place, they can eventually cause tooth mobility and even tooth loss if untreated.
8. Do they affect dental implants?
Yes. Spirochetes can infect tissues around implants, causing swelling, bone loss, and potential implant failure. Regular monitoring and proper gum therapy help prevent this.
9. Can spirochetes spread in the body?
Yes. They can enter the bloodstream, potentially triggering inflammation elsewhere in the body. This connection between oral health and systemic health highlights why treating gum bacteria is important.
10. How do spirochetes evade the immune system?
They hide deep within gum tissue and can disguise themselves, making it hard for the immune system to detect and remove them naturally.
11. Do they damage bone?
Yes. They release enzymes that break down the bone and connective tissue supporting teeth, which can lead to gum recession and tooth loss.
12. Can they return after treatment?
Yes. Without proper home care and follow-up, spirochetes can recolonize quickly. Ongoing maintenance is essential.
15. What is a phase-contrast microscope?
It is a special microscope that lets dentists see live bacteria without killing them. This allows real-time observation of harmful motile bacteria like spirochetes.
16. Why is this microscope important?
Seeing the bacteria live helps both dentists and patients understand the actual cause of gum problems. It motivates patients to follow treatment properly.
17. Can I see both good and bad bacteria?
Yes. Good bacteria are stable and calm, while harmful spirochetes twist and move rapidly. This helps in targeting only the bacteria causing problems.
18. How does seeing bacteria help me?
It makes gum disease real and understandable. Patients can see why professional therapy and consistent home care are necessary.
19. Do all clinics use this microscope?
No. It is advanced technology mainly used in specialized therapies like SpiroClear™gum therapy. Most regular clinics do not have this facility.
20. What is the Clean–Rinse–Massage (CRM) method?
CRM is a simple 3-step routine:
- Clean: Brush teeth carefully to remove plaque
- Rinse: Use saline solution to flush bacteria
- Massage: Apply healing gel ( such as Turvera ) to gums to stimulate circulation and healing
21. How does SpiroClear™ gum therapy remove spirochetes?
The therapy combines professional cleaning, saline rinsing, and gentle gum massage with natural gels. This approach reduces harmful bacteria, calms inflammation, and encourages the gums to heal naturally.
22. Is surgery needed?
No. CRM protocol avoids cuts, stitches, antibiotics, or harsh chemicals. It is completely non-invasive and safe.
23. How long does the therapy take?
Treatment usually begins with 2–3 clinic visits, followed by a 60-day home-care routine to maintain long-term gum health.
24. Why is Turvera gum massage important?
Turvera gum massage improves gum health by increasing blood circulation, reducing inflammation, and enhancing the delivery of natural healing agents directly to the gum tissue. Regular massage also strengthens gum fibers, supports tissue repair, and helps prevent bacterial overgrowth, contributing to healthier, firmer, and pink gums.
25. What is Turvera and how does it help?
Turvera is a natural blend of Turmeric, Aloe Vera, and Salt, each with specific therapeutic benefits:
- Turmeric: Contains natural antibacterial and anti-inflammatory compounds that help fight harmful oral bacteria, reduce
- gum swelling, and support tissue healing.
- Aloe Vera: Soothes irritation, hydrates, and regenerates gum tissue, promoting faster repair and improving overall comfort during massage.
- Salt: Acts as a natural cleanser, controls bacterial growth, and maintains a balanced oral environment.
26. Can I prepare Turvera at home?
Yes. Turvera is easy to make using small amounts of Turmeric, Aloe Vera gel, and Salt. Consistent, gentle use at home complements professional therapy and supports long-term gum health.
27. Does Turvera gum massage help dental implants?
Yes. Gentle massage around implants improves circulation, reduces inflammation, and promotes tissue healing. Regular use helps maintain healthy gums and long-term implant stability.
28. How often should I perform Turvera gum massage?
For optimal results, massage your gums twice daily—morning and evening—after brushing and rinsing. Consistency strengthens gum tissues, prevents bacterial recolonization, and enhances the natural healing process.
29. What are the overall benefits of Turvera gum massage?
- Reduces gum inflammation and swelling
- Strengthens gum tissue and improves resilience
- Supports natural repair and healing of damaged tissue
- Helps prevent bleeding gums
- Reduces harmful bacteria and improves oral microbial balance
- Enhances circulation, promoting healthier, pink gums
- Supports fresh breath and overall oral wellness
30. How should I brush my teeth at home?
Use a soft-bristled toothbrush and gentle circular motions to remove plaque without damaging gums. Mindful brushing—focusing on each tooth and gumline—prevents irritation, gum recession, and ensures thorough cleaning.
31. Can I use any toothpaste or mouthwash?
Use non-abrasive toothpaste and avoid alcohol-based mouthwashes. Gentle products maintain a healthy microbial balance, supporting natural healing and the effectiveness of therapies like SpiroClear™ gum therapy and Turvera gum massage.
32. How can I monitor my gum health at home?
Check for redness, swelling, bleeding, or persistent bad breath. Healthy gums are firm, pink, and rarely bleed. Mindful observation helps detect early changes and enables timely intervention.
33. How often should I follow the CRM routine?
Perform Clean–Rinse–Massage (CRM) twice daily. Mindful execution—gentle, thorough, and attentive—enhances circulation, disrupts bacterial biofilm, and promotes natural gum healing.
34. How long do I need to continue home care?
Home care is ongoing. Daily CRM, mindful brushing, and regular check-ups prevent reinfection, maintain spirochete control, and support long-term pink, healthy gums.
ध्यानपूर्वक दाँत माझौँ, मुख स्वस्थ राखौँ
ध्यानपूर्वक दाँत माझौँ वैज्ञानिक अध्ययन अनुसन्धानका अनुसार मधुमेह, उच्च रक्तचाप, मिर्गौला रोग तथा क्यान्सर जस्ता दीर्घरोग भएका व्यक्तिहरूले अन्य स्वस्थ व्यक्तिहरूले भन्दा विशेष रूपमा आफ्नो मुख स्वास्थ्यको ख्याल राख्नु पर्ने हुन्छ । दाँत किरा लाग्ने, गिजा पाक्ने, गिजाबाट रगत आउने, मुख सुख्खा हुने, सास गन्हाँउने आदि जस्ता दन्त रोगहरू हुन नदिन त्यस्ता दीर्घरोगीहरू र उनका परिवार सधैं चनाखो रहनु पर्छ। यस्ता रोगहरूबाट बच्न सकिने सबैभन्दा सजिलो र भरपर्दो उपाय भनेकै खाना पछि, बिहान र बेलुका सहि र प्रभावकारी विधिबाट दाँत माझ्नु हो ।
दाँत माझ्ने सहि र प्रभावकारी विधि कस्तो हो त ? तपाईहरुलाई सघाउन हामीले “ध्यानपूर्वक दाँत माझ्ने विधि” (Meditative Tooth Brushing - MTB*) प्रस्तुत गरेका छौैैँ । दाँत र मुख सफा गर्ने यो विधि प्रभावकारी र उपयोग गर्न सजिलो पनि छ ।
ध्यानपूर्वक दाँत माझ्ने विधि
सफा गर्ने (CLEAN)

मञ्जन नहाली २ मिनेट ब्रश गर्ने
कुल्ला गर्ने (RINSE)

पानीले राम्ररी कुल्ला गर्ने
मालिस गर्ने (Massage)

थोरै फ्लोराइडयुक्त मञ्जन हाली ब्रशले १ मिनेट मालिस गर्ने

दन्त रोगका शुरुवाती लक्षणहरु
१. दाँत माझ्दा रगत आउनु
२. गिजा सुन्निनु
३. सास गन्हाउनु
४. गिजाले दाँत छोड्दै जानु
५. तातो, चिसो वा गुलियो खाँदा दाँत सिरिङ्ग हुनु
६. दाँतमा सेता, खैरा वा काला दागहरु देखिनु
७. खाना चपाउँदा दाँत दुख्नु
ब्रश चलाउने तरिका
- प्रत्येक दाँतको भित्री र बाहिरी सतहहरूमा गिजाबाट दाँततर्फ बिस्तारै ब्रश गर्नेे र दाँतका चपाउने सतहहरू र जिब्रो सफा गर्दा भने ब्रश भित्र बाहिर गरी चलाउने ।
- ब्रशमा केराउको गेडा जति फ्लोराइडयुक्त मञ्जन हाली, मञ्जन बिना सफा गरिएको दाँत, गिजा र जिब्रोका सतहहरुमा ब्रशलाई बिस्तारै घुमाउँदै मालिस गर्दै पुनः सफा गर्ने ।
तल्ला दाँतहरु

भित्री सतह

चपाउने सतह

बाहिरी सतह

भित्री सतह

बाहिरी सतह
माथिल्ला दाँतहरु

भित्री सतह

चपाउने सतह

बाहिरी सतह

भित्री सतह

बाहिरी सतह
विशेष अनुरोध
आफ्नो घर परिवारमा भएका गर्भवती महिला, केटाकेटी, वृद्ध–वृद्धा तथा मुटु÷मिर्गाैला÷मधुमेह जस्ता समस्या भएका दीर्घ रोगीहरुलाई यो ध्यानपूर्वक दाँत माझ्ने विधि सिकाई उनीहरुको दन्त स्वास्थ्य तन्दुरुस्त राख्न विशेष सहयोग गरौँ ।
Turvera - Ora Gum Gel
Ayurveda has long advocated oral and gum massage using natural herbs and spices to promote periodontal health and maintain oral tissue vitality. This traditional method enhances microcirculation, delivering oxygen and nutrients to gingival tissues while supporting cellular regeneration and immune response. It also sustains the oral microbial balance, minimizing inflammation and preventing periodontal disease.
TURVERA OraGum Gel offers a modern, evidence based alternative to traditional herbal applications. Formulated through the integration of Ayurvedic principles and advanced dental research, TURVERA combines 10 scientifically validated herbs and spices, with turmeric and aloe vera as its major components, renowned for their potent anti-inflammatory, antioxidant, and healing properties.
Produced in Japan under SHINYEI Kobe’s (https://mizuha-oralcare.com/ayurveda/) strict quality control standards, TURVERA ensures pharmaceutical-grade purity and efficacy. Its bioactive formulation supports gum tissue repair, reduces bacterial load, and helps maintain a stable oral ecosystem without disrupting beneficial flora. Incorporating TURVERA OraGum Gel into daily oral care regimens provides a safe, non-invasive, and holistic approach to promoting periodontal health and overall oral well-being.
Key Ingredients and Their Benefits:
- Turmeric (Curcuma longa) – Rich in curcumin, which reduces inflammation and has strong antimicrobial properties.
- Aloe Vera (Aloe barbadensis miller) – Contains acemannan, promoting fibroblast proliferation and gum tissue regeneration.
- Sea Salt (Sodium Chloride) - Regulates oral pH, reduces inflammation, and disrupts bacterial biofilms.
The Power of Seven Kitchen Spices:
- Fennel - Inhibits biofilm formation and neutralizes bad breath.
- Cinnamon - Strengthens gum tissue with antibacterial properties.
- Black Pepper - Enhances circulation and boosts curcumin absorption.
- Ginger - Inhibits prostaglandin synthesis and accelerates tissue healing.
- Laurel - Soothes inflamed gums with antibacterial properties.
- Nutmeg - Reduces bacterial load and prevents halitosis.
- Paprika - Enhances microcirculation and protects against gum recession.
Homemade Turvera Gel
Oral health is a crucial part of our overall well-being, yet high-quality oral care products can be expensive and difficult to find for many. That's why Vedic Smile Oral Care offers both the clinically advanced TURVERA Gel and a simple, budget-friendly homemade alternative.
If you'd like to make your own TURVERA Gel at home, follow following easy steps:
Step 1: Prepare Aloe Vera (60%)
Take fresh aloe vera, clean it thoroughly, and extract the gel.
Step 2: Add Turmeric (20%)
Mix in turmeric powder with the freshly prepared aloe vera gel.
Step 3: Add Sea Salt (5%)
Stir in sea salt to balance the mixture.
Step 4: Blend in 7 Kitchen Spices (15%)
Combine powdered Fennel, Cinnamon, Black Pepper, Ginger, Laurel, Nutmeg, and Paprika and mix well.
Your homemade Turvera Gel is now ready for use!
Please note: The homemade Turvera Gel may not have a pleasant texture and taste for everyone, and regular use may cause staining on the teeth.
